
GEヘルスケア・ジャパンは5月27日、汎用超音波画像診断装置“LOGIQ”シリーズの最新モデル「LOGIQ Fortis」(ロジック フォルティス)を販売開始。メーカー小売希望価格は9200万円。初年度国内販売目標は500台。
この販売にあわせ、同日に新製品「LOGIQ Fortis」発表&プレスセミナーを開催。GEヘルスケア・ジャパン 超音波本部 General Imaging部 梅垣 洋一郎 部長、同 小沼雅世プロダクトスペシャリスト、同 岡村陽子プロダクトスペシャリスト、同 松岡慎一 執行役員 超音波本部長らが登壇した。
また、ゲストスピーカーに、国保旭中央病院 診療技術局超音波検査室 関根智紀 超音波検査指導技師、東邦大学医療センター大森病院 臨床生理機能検査部 丸山憲一 技師長、日本超音波検査学会 浅野幸宏 理事、小張総合病院 検査科 中野英貴 科長が登壇し、超音波画像診断のトレンドを語った。
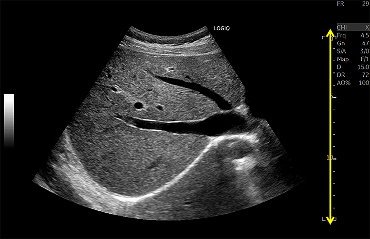
フルフォーカスにより浅部も深部も明瞭に描出、高いフレームレート

(従来装置)

(LOGIQ Fortis)
この「LOGIQ Fortis」は、フラグシップモデルの「LOGIQ E10」シリーズと同じ「cSound Imageformer」を搭載。
近位部から深部にいたるまで、均一なイメージを把握できるよう、全視野・全深度フルフォーカスを実現した。
従来装置では、フォーカス近傍が明瞭に描出されているが、フォーカス以外の部分は明瞭に描出できず、関心領域に応じてフォーカスの位置を適宜変更する必要があった。
今回リリースされた「LOGIQ Fortis」では、フルフォーカスにより浅部も深部も明瞭に描出され、フレームレートも高いことがわかる。
日本で開発されたXDclearプローブで的確な判断をスピーディに

XDclearプローブは、単結晶の振動子を用いることに加え、Acoustic Amplifier 技術により損失していたエネルギーの効率的な利用を可能とし、Cool Stack 技術により熱損失を低減することで深部感度と分解能を最大化するため、日本で開発されたもの。
帯域幅の拡大により、従来2本のプローブを必要としていた周波数帯域を、1本でカバーできるため、多忙な日常診療の中でも、精査・治療までの的確な判断をスピーディに下せるようになる。
また、超高周波24MHzリニアプローブを採用し、近年要望が増えている皮膚科・整形領域においても高分解能かつ高感度な血流評価により、正確な診断をサポートする。
操作パネルを一新、カスタマイズで使い勝手よくワークフローも効率化

「LOGIQ Fortis」は、「誰もが手に取りやすく、使いやすいデザイン」を追求し、操作パネルを一新。施設の使用用途にあわせ、検査中によく使用するタッチパネルのカスタマイズもできる。
また、作業関連運動器障害(Work-Related Musculoskeletal Disorders; WRMSD)は、エコー検査においても古くから重要な問題といわれているなか、「LOGIQ Fortis」開発時にエコー検査者の作業姿勢についても研究。
「LOGIQ Fortis」の意匠は、この WRMSD リスクが高い下肢検査と心エコー検査の体勢の改善を目的としてデザインされた。
このデザインは「検査者の負担を軽減するエルゴノミクスを意識したデザイン」として、世界三大デザイン賞のひとつと呼ばれている IF Design Award 2022 を受賞した。
正確な診断をサポートする多様な機能
「LOGIQ Fortis」は、腹部や心臓から、血管、表在まで、さまざまな領域において、「誰もがシンプルに使いこなせること」をめざした数々の先進アプリケーションを搭載。
とくに「UGAP」は、超音波信号の減衰量から減衰係数(AC)を推定し、Attenuation MAP(減衰マップ)を表示。
自動計測アルゴリズムとQuality indicator(クオリティマップ)の採用で、安定したデータ収集が可能に。
また、cSound の高画質と相まって、誰もが使いこなせる先進技術をめざし、さまざまな機能をより使いやすく進化させた点もポイントだ。
「LOGIQ Fortis」開発の背景
医療現場では、高齢化による受診者数の大幅な増加により、患者一人ひとりが必要とされる医療の提供が難しくなるいっぽうで、質を維持しつつ効率的に提供していくことがより一層求められるようになった。
こうした状況下で、非侵襲性の超音波検査は身体への負担が少なく、リアルタイムに観察部位を診断できることから、診断領域を問わずニーズの高まりが顕著に。
そして、高齢の患者は、検査室に行くことさえも困難である場合が多いことから、軽くて院内での持ち運びが容易、かつ精度の高い検査ができる超音波画像診断装置の開発が長らく求められていた。
そこで「LOGIQ Fortis」は、超音波検査に従事する医師・ソノグラファーの負担を軽減し、精密な診察をスピーディに実現しなければならない医療現場のニーズに応えるよう、設計・開発。前出のようなアドバンテージを兼ね備えた汎用超音波画像診断装置が誕生した。
GEヘルスケア・ジャパンの超音波画像診断装置

GEヘルスケア・ジャパンの超音波画像診断装置は現在、汎用の「LOGIQ(ロジック)」、循環器用の「Vivid(ヴィヴィッド)」、産婦人科用の「Voluson(ボルソン)」、各診療科の特定ニーズに対応する「Venue(べニュー)」、開業医向け「Versana(ベルサナ)」、乳房用「Invenia ABUS(インべニアエイバス)」、ポケットサイズの「Vscan(ヴィースキャン)」の7ブランド体制で、エントリーモデルからプレミアムハイエンド機まで、医療機器のニーズに応えるために、きめ細やかにチューニングされた製品をラインナップ。
また、VenueシリーズやVscanなど、バッテリー駆動の可動性と簡便性、高い機能性を誇る装置を通じて、在宅・災害医療時や、麻酔科や整形外科、リウマチ科などこれまで超音波画像診断装置の使用頻度が低かった分野における新たな利用機会の創出を積極的にすすめている。
予防から診断・治療・経過観察・予後管理まで、GEヘルスケア・ジャパン
GEヘルスケア・ジャパンは、GEヘルスケアの中核拠点のひとつとして1982年に創設。
予防から診断、治療、経過観察・予後管理までをカバーする「プレシジョン・ヘルス」の実現をめざし、インテリジェント機器やデータ分析、ソフトウェア、サービス等を提供。
国内に研究・開発、製造から販売、サービス部門までを持ち、日本の顧客ニーズに応えつつ、日本が直面する医療課題の解決に取り組み、日本国内の社員数は約1700名、本社と約60か所の事業拠点を抱えている。
◆GEヘルスケア・ジャパン
https://www.gehealthcare.co.jp/
◆超音波コミュニケーションマガジン GE Sono-Co
http://gecommunity.on.arena.ne.jp/sonoco/index.html
